Message us
  • All
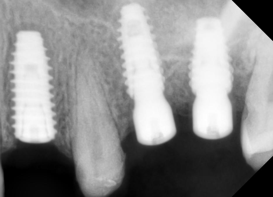
  • Infrastructure
  • Equipment
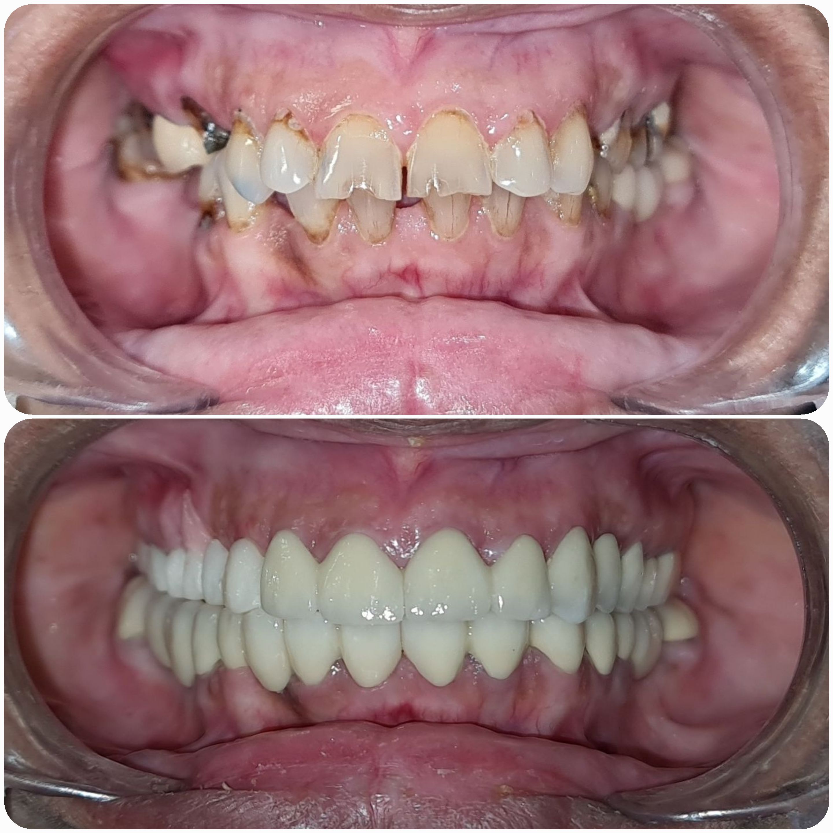
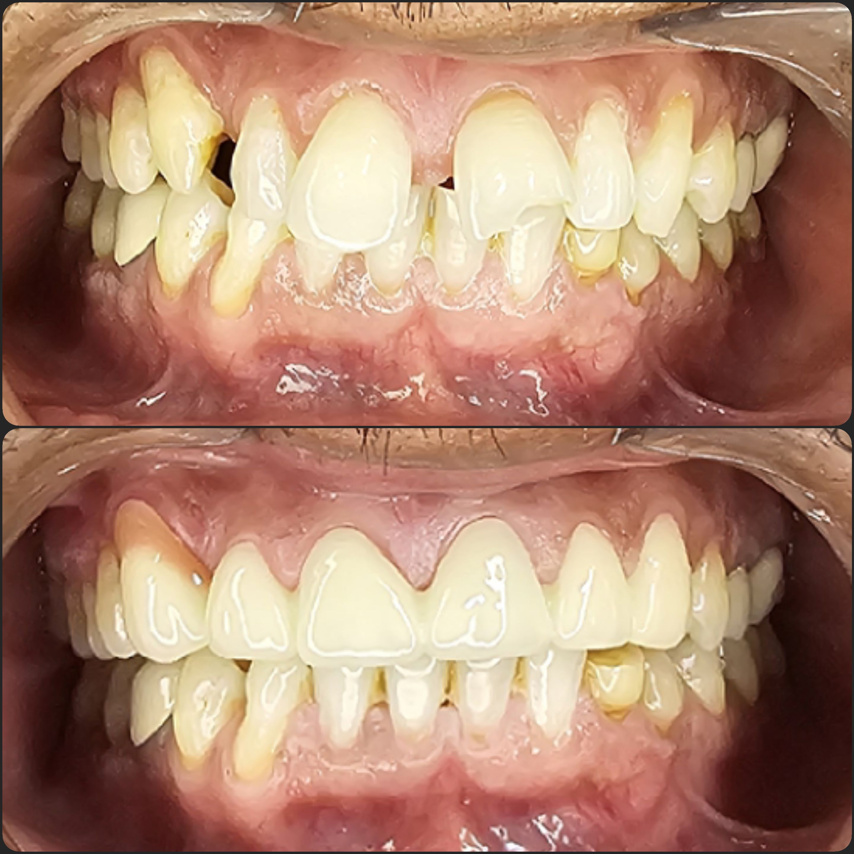
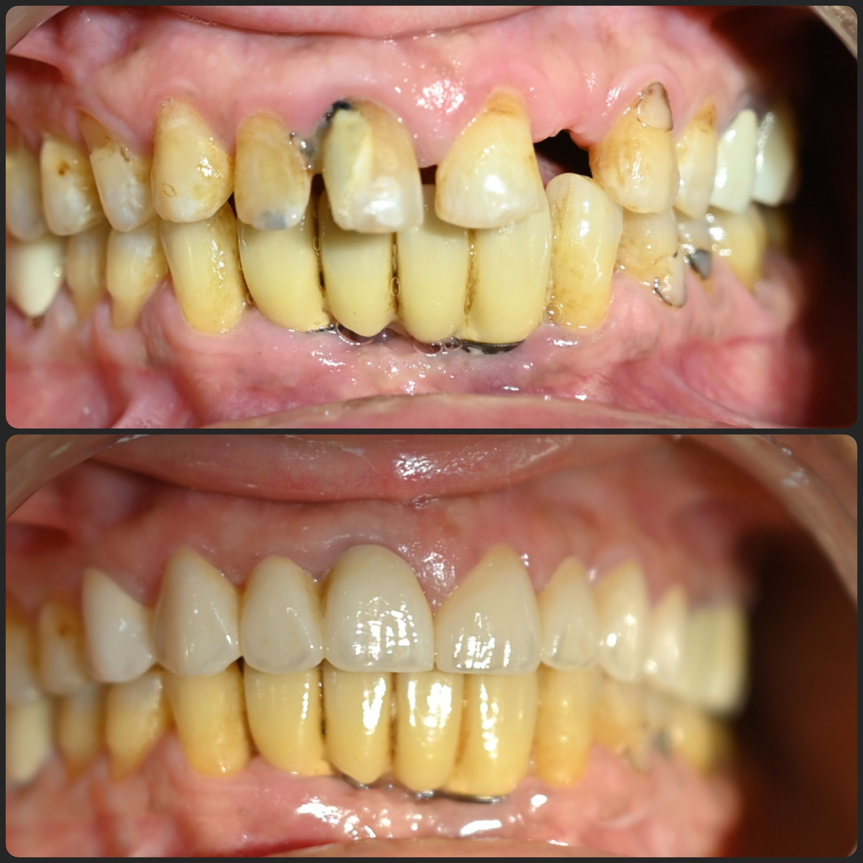
  • Cases